Magnetic Resonance

Excel in your daily MR services, helium-free.

Philips MR Ingenia Ambition 1.5T

Philips MR Ingenia Ambition 1.5T


Based on its new, revolutionary fully sealed BlueSeal magnet, Ingenia Ambition lets you experience more productive¹ helium-free MR operations.

 

The Ingenia Ambition delivers superb image quality even for challenging patients, and performs MRI exams up to 50% faster with Compressed SENSE acceleration for all anatomies in both 2D- and 3D scanning3. Fast overall exam-time is achieved by simplifying patient handling at the bore with the touchless guided patient setup. 


Furthermore, the Ingenia Ambition offers an immersive audio-visual experience to calm patients and guide them through MR exams.

    Need more information on Ingenia Ambition?

    Request more information here and we will get in touch with you soon.

    What your peers say about Ingenia Ambition 1.5T

    Learn how Miami Cardiac & Vascular Institute's patients and staff are profiting from the installation of their new Ingenia Ambition 1.5T MR system.

    Clinical cases from your peers with Ingenia Ambition 1.5T

    wristhand

    Wrist/Hand

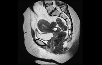
    imaging-female-pelvis

    Female Pelvis

    total_spine

    Total Spine

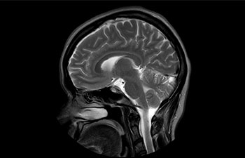
    compressedsense

    Brain with Compressed SENSE

    Downloads

    Net Forum

    Download ExamCards for Ingenia Ambition 1.5T

    Blueseal Brochure

    BlueSeal magnet brochure

    Transition your department towards more productive helium-free MR operations1

    Blueseal Brochure

    Ingenia Ambition 1.5T X brochure 

    Excel in your daily MR services helium-free 

    Ambition Brochure

    Ingenia Ambition 1.5T S brochure

    Excel in your daily MR services helium-free

    VitalScreen Brochure

    VitalScreen brochure

    Guidance at your fingertips

    VitalScreen Brochure

    VitalEye brochure

    Keeps a caring eye on your patient

    VitalScreen Brochure

    Compressed SENSE brochure

    Speed done right, every time

     

    VitalScreen Brochure

    Why sustainability matters for healthcare today – and patients in the future

    Arjen Rdder
    The earth’s precious resources are limited. Coal, crude oil and natural gasses like helium – they will one day run out. It’s a fact we’re all aware of. For years, it has been the dream of physicists, radiology managers and others working in MRI to find a way to become less reliant on helium. At Philips, we recognize our responsibility in preserving natural resources, finding alternatives and limiting the risks of helium scarcity for healthcare facilities around the world. 

    Related products

    Ambition

    Ingenia Ambition 1.5T X

    Excel in your daily MR services, helium-free
    Compressed sense

    Ingenia Ambition 1.5T S

    Excel in your daily MR services, helium-free
    Compressed sense

    Compressed SENSE

    Up to 50% faster MR exams, so you can spend your time wisely
    Coil selector

    Coil Selector

    See all Ingenia Ambition 1.5T coils
    Clinical Selector

    Clinical Selector

    Find the right clinical applications for your needs
    *

    Contact information

    * This field is mandatory
    *
    *
    *
    *
    *
    *
    *
    *
    *
    By specifying your reason for contact we will be able to provide you with a better service.
    *
    *

    Final CEE consent

    1 Compared to the Ingenia 1.5T ZBO magnet.

    2 Compared to Philips scans without Compressed SENSE

    3 Requires appropriate service contract

    4 Based on in-house testing.

    5 SmartExam is not available for patients with MR Conditional implants

    6 Conditions apply. Selected countries only.

    7 By use of MSDE black blood pre-pulse with STIR/SPAIR, compared to our STIR/SPAIR sequence without MSDE prepulse.

    8 Only for use with MR Safe of MR Conditional implants by strictly following the Instructions for Use.

    9 Compared to scanning without ComforTone

    10 Requires service contract for 5 year after installation. Selected countries only.

    11 Even in the rare case of the magnet becoming unsealed, the negligible amount of helium escaping would not materially affect the oxygen in the room.


    *11 Even in the rare case of the magnet becoming unsealed, the negligible amount of helium escaping would not materially affect the oxygen in the room.
    *11 Even in the rare case of the magnet becoming unsealed, the negligible amount of helium escaping would not materially affect the oxygen in the room.