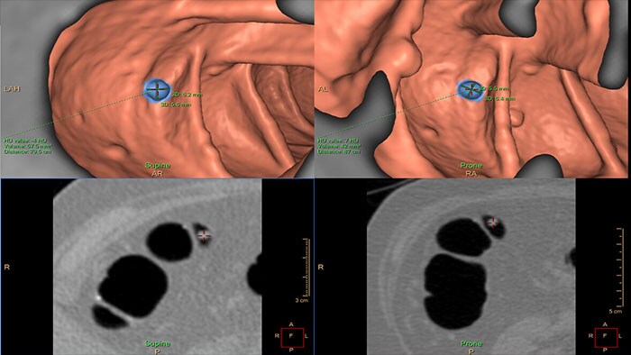
Accelerate the path from images to answers
In today’s radiology departments, precision imaging isn’t just about clarity, it’s about speed, consistency, and the confidence to act. Our solutions deliver that across your entire radiology workflow. From real-time remote imaging support and first-time-right image acquisition to advanced visualization and AI, they streamline workflow, optimize resources, and enhance diagnostic confidence.
Behind every image is someone waiting for answers