• Professional healthcare
  • Products & Services
  • Inspiration
  • Support & Contact
  • Shop
‌
‌
‌
‌
‌
‌
‌
‌
‌
‌
‌
‌
‌
‌
‌
‌
‌
‌
‌
‌
  • Consumer productsConsumer products
    • Home
    • Support
    • Product registration
    • My Philips
  • Healthcare professionalsHealthcare professionals
    • Home
    • Products
    • Services
    • Specialties
    • Solutions
  • Other business solutionsOther business solutions
    • Lighting
    • Automotive
    • Hearing solutions
    • More
    • Display solutions
    • Dictation Solutions
  • About usAbout us
    • Home
    • News
    • Investor Relations
    • Careers
    • More
    • Environmental, Social and Governance
    • Innovation
  • Contact and supportContact and support
    • Customer support
    • Professional healthcare support
    • Company contacts
  • Stay up-to-dateStay up-to-date
  • Select your country / languageGlobal / English
  • Privacy Notice
  • Terms of use
  • Cookie notice
  • Legal compliance
  • Do Not Sell/Share my Data
© Koninklijke Philips N.V., 2004 - 2026. All rights reserved.
‌
‌
‌
‌
‌
‌
‌
‌
‌
‌
‌
‌
‌
‌
‌
‌
‌
‌
‌
‌
Radiologist sitting behind the MRI console looking at clinical images acquired with Compressed SENSE
Magnetic Resonance

MR SmartSpeed

Contact salesFind support

Increase speed and image quality, driven by Artificial Intelligence

Philips SmartSpeed is a cutting-edge MRI acceleration technique that expands the proven Compressed SENSE technology, broadening its scope to previously untouched imaging protocols by enhancing the image reconstruction with AI algorithms applied early in the reconstruction process. SmartSpeed increases your imaging speed by up to a factor of 31, provides up to 65% greater resolution1 to deliver outstanding image quality and is compatible with 97% of clinical protocols2 to address the needs of a broad range of your patients in various conditions.

Philips SmartSpeed

Fast high-quality imaging with AI

SmartSpeed increases image quality and speed to enhance your patient and staff experience and boost diagnostic imaging confidence.

Demonstrated results of MR SmartSpeed

  1. Up to 3x

    faster scanning1

    Up to 3x

    faster scanning1

    to help reduce exam time and increase productivity.

  2. Up to 65%

    higher resolution1

    Up to 65%

    higher resolution1

    to deliver outstanding image quality and boost clinical confidence.

  3. 97%

    applicability across clinical protocols2

    97%

    applicability across clinical protocols2

    for both 2D and 3D, to address the imaging needs of the vast majority of patients.

Scan up to three times faster
By scanning up to three times faster1 and helping to reduce the total exam time, SmartSpeed can increase MRI department productivity and reduce the cost per exam. You can use the time gained to scan more patients and reduce the cost per scan, to add unplanned patients to the schedule and to reduce staff overtime.
Spine imaging with SmartSpeed
Achieve up to 65% higher resolution
By providing higher resolution1, SmartSpeed delivers outstanding image quality so that radiologists can feel confident when providing information to the referring physician. Because SmartSpeed applies deep learning AI reconstruction at the source – as close as possible to the beginning of the image acquisition process – it enables k-space data consistency check for trustworthy AI and minimizes data loss. And less data lost means more information in the reconstructed image.
MSK imaging with SmartSpeed
Applicable for 97% of exams
SmartSpeed is compatible with 97%2 of clinical protocols, so you can use it to address the imaging needs of the vast majority of your patients. It has been trained on an extensive set of data so that it can be used not only with 2D sequences, but also with 3D sequences, as well as for all anatomies and a wide variety of advanced contrasts such as DIXON for fat-free imaging, angiography, SWI and even quantitative imaging such as T1- or T2-mapping. SmartSpeed is also compatible with non-cartesian imaging for uncooperative patients or challenging anatomies that are sensitive to motion
Cardiac imaging with SmartSpeed


Image gallery

  • Clinical image SmartSpeed neuro
    SmartSpeed neuro comparison
  • Clinical image SmartSpeed cardiac
    SmartSpeed cardiac comparison
  • Clinical image SmartSpeed MSK
    SmartSpeed MSK comparison
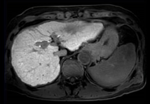
  • Clinical image SmartSpeed Abdomen
    SmartSpeed Abdomen comparison
  • Clinical image SmartSpeed Spine
    SmartSpeed Spine comparison
  • Clinical image SmartSpeed Motion Free - head and neck
    SmartSpeed MotionFree head/neck comparison
Ultimate precision at maximum speed with Dual AI
Take the leap forward with SmartSpeed Precise, the next generation acceleration technique that expands the proven Compressed SENSE and SmartSpeed technologies with a unique integrated Dual AI innovation, providing ultimate precision at maxiumum speed.
Read more
SmartSpeed Precise
1/3
SmartSpeedSmartSpeedSmartSpeed
  • AI technology recommendation award
    Award-winning AI technology
    The Compressed SENSE AI technology used in SmartSpeed, co-developed by Philips and its academic partners, won the 2019 fastMRI Challenge hosted by Facebook AI research and New York Langone Health.
Frequently asked questions

To understand the impact Philips SmartSpeed can bring, we show the proven value of Compressed SENSE. Compressed SENSE allows for higher productivity by reducing the scan times of individual acquisitions by up to 50%4 and of full exams by 20-30%1. Philips SmartSpeed further builds on the strengths of its predecessors while expanding its versatility. It extends the application range to accommodate imaging in challenging situations related to motion, implants and low SNR in diffusion. Further speed improvements are realized by incorporating deep learning in the Philips SmartSpeed framework.

Adaptive-CS-Net deep learning technology applied at the beginning of the recon chain Philips SmartSpeed AI is completely integrated in the acquisition and reconstruction acceleration engine and the Adaptive-CS-Net is trained to cover all anatomical domains and image contrasts over a wide range of acceleration factors and resolutions. It can be applied in any anatomical area for all contrasts for 2D and 3D sequences including complex image output. Philips SmartSpeed AI is for instance compatible with mDixon, SWIp and PCA.

Philips SmartSpeed AI brings up to three times faster1 imaging, reduced motion sensitivity and up to 65%1 higher resolution. The support for multiple contrasts of 2D and 3D scans as well as derived information like fat-free imaging with mDixon ensures that shorter scan times are not realized only for single scans, but that the whole examination time is reduced. This is obviously beneficial for patient comfort and compliance.

Documentation

Philips SmartSpeed brochure
PDF|(2.29 MB)
Footnotes
  1. Compared to Philips SENSE imaging.
  2. On average, measured across a sample of sites from Philips MR installed base.
  3. Adaptive-C-SENSE-Net technology is the winner of the FastMRI Challenge hosted by Facebook AI Research and NYU Langone Health (2019).
  4. as of 2021.
Disclaimer
Results are specific to the institution where they were obtained and may not reflect the results achievable at other institutions. Results in other cases may vary.