Search terms
One work environment,
one advanced visualization solution
Designed around the principle of continuous evolution, IntelliSpace Portal helps you manage shifting challenges and technology-driven healthcare for the years to come.

From our experience IntelliSpace Portal is user friendly and simple to learn. Even if you are a complete novice with no experience of advanced visualization, you know what to do.”
Dr. Bettina Baessler
MD Research Group Leader, Multi-Parametric Imaging at the University Hospital of Cologne, Germany
IntelliSpace Portal focuses on our specific needs and challenges. There’s no need for multiple programs when you have everything integrated into one workflow.”
Prof. Elke Hattingen
Neuroradiologist, University Hospital of Bonn, Germany
A major selling point is that we can have multiple people and sites utilizing the IntelliSpace Portal. The second bonus was it is multi-vendor.”
Dr. Jessica Chambers
Director of Diagnosis Imaging, SSM Health, USA
Philips worked with us to design and implement a standardized workflow tailored to our site. It was honest and open partnership, focusing on our real needs."
Dr. James Rawson
Chief of Radiology, Augusta University Medical Center, USA
Every release offers more benefits for us through new tools and new applications."
Dr. Javier Alarcon Rodriguez
Thoracic radiologist, Hospital General Universitario, Gregorio Marañon, Spain
When you choose Philips, you’re investing in a long-term relationship. We’re committed to helping you realize the full clinical and operational potential throughout your organization. Our solutions are informed by a strong track record, deep clinical insights, and global delivery capabilities.
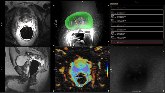
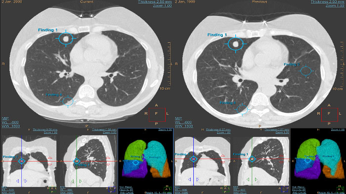
With IntelliSpace Portal, you benefit from leading applications across a broad spectrum of clinical domains. All are optional additions to the standard features and functionality of the platform. And since the platform works on a client-server architecture, these applications are available to anyone across your enterprise.















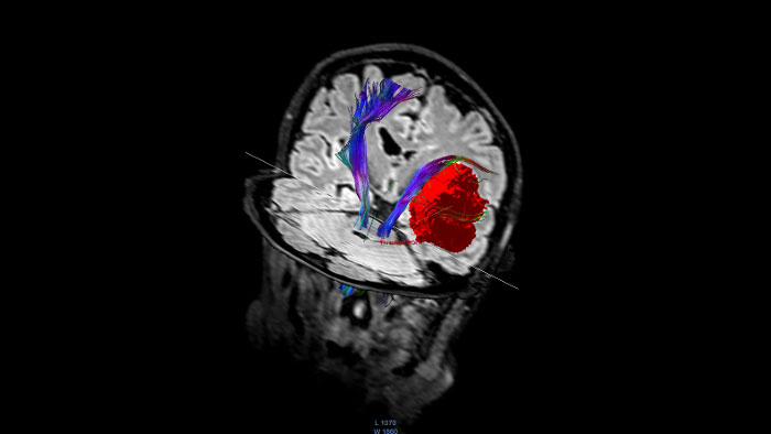
IntelliSpace Portal 10, 3D modeling: Making visualization tangible