Flow viewer: Background, principles and clinical applications
Accurate visualization of vascular structures is critical for confident diagnosis across obstetrics, cardiology, and vascular imaging. Flow Viewer is an advanced visualization technique that applies virtual lighting effects to two-dimensional (2D) flow imaging, enabling clinicians to see blood vessels in a more intuitive, 3D-like manner. Available across multiple flow imaging modes—including Color Doppler, Power Doppler (CPA), Directional Power Doppler (DCPA), MicroFlow Imaging (MFI), and MFI-HD—Flow Viewer can be used both in real-time and post-processing, helping clinicians adapt imaging workflows without disruption.
What is Flow Viewer and how does it work?
Flow Viewer is a Philips Ultrasound advanced visualization technique that enhances standard 2D blood-flow imaging by applying virtual lighting and shading effects to Doppler data. The result is a 3D-like appearance of vascular flow—while remaining fundamentally 2D imaging. Flow Viewer uses computer-graphics lighting principles—combining:
Illustration of the ambient, diffuse and specular components as well as the final (composite) image obtained by combining these three individual components
As illustrated in the diagram, lighting components are layered together to create a composite image that allows clinicians to better perceive vessel shape, size, and spatial relationships. The result is a more intuitive visualization of blood flow—helping clinicians interpret complex anatomy with greater confidence.
Why enhanced visualization matters in clinical practice
Traditional Color Doppler imaging can sometimes make it challenging to distinguish adjacent vessels or clearly define vessel boundaries—especially when flow direction is similar or anatomy is complex. Flow Viewer addresses these challenges by leveraging both Doppler velocity and Doppler power data to:
For example, the image below demonstrates how Flow Viewer enables clearer differentiation between the portal vein and hepatic artery—even when vessels are closely positioned and share similar flow direction.
Color Doppler image of the portal vein and hepatic artery. Right: Flow Viewer version of the image on the left (applied in post-processing).
Obstetrics and fetal imaging
Flow Viewer supports more definitive identification of fetal vascular structures, which is critical for prenatal assessment. Clinical evaluations show:
These capabilities can support earlier and more confident detection of fetal anomalies.
Vascular imaging
Flow Viewer enhances visualization of vascular anatomy by improving depth perception and reducing artifacts.
Two Color Doppler vascular carotid images illustrate the 3D-like visualization and excellent color containment with the vessel lumen offered by Flow Viewer.
As shown above, the technology provides excellent color containment within vessel lumens, helping clinicians assess flow with greater precision.
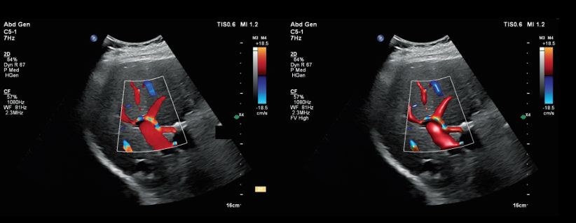
Abdominal and transplant imaging
In complex cases such as liver transplant evaluation, Flow Viewer has demonstrated measurable improvements:
These gains can be particularly valuable when assessing small or difficult-to-visualize vessels.
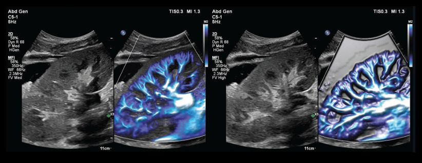
Microvascular imaging
Flow Viewer enhances MicroFlow Imaging (MFI) by improving sensitivity to small vessels.
Left: MFI frame from a renal scan, with Flow Viewer turned on and blending between the MFI and B-mode data. Right: Different MFI frame from the same renal scan, with Flow Viewer again turned on but without blending between the MFI and B-mode data (solid MFI background).
The example of renal imaging highlights how Flow Viewer increases the visibility of fine vascular structures, especially when using a solid background to emphasize flow signals.
Designed for flexibility in clinical workflows
Flow Viewer is available on the Philips EPIQ Elite and Affiniti ultrasound systems and works in real-time and/or post-processing for all Flow Imaging modes (color Doppler, CPA, dCPA, MFI, MFI HD).
Clinicians can use Flow Viewer:
Multiple user-selectable settings (off to max) allow customization based on clinical preference and imaging needs.
Advancing ultrasound visualization
As imaging technologies evolve, there is increasing demand for tools that improve clarity without adding complexity. Flow Viewer represents a step forward by bringing advanced rendering techniques—traditionally used in 3D imaging—into everyday 2D ultrasound workflows.
By enhancing depth perception and vessel delineation, Flow Viewer helps clinicians see more clearly, interpret more confidently, and ultimately support better patient care.
Flow Viewer 3D advanced visualization
Available on Philips ultrasound machines, Flow Viewer defines vasculature with a 3D-like appearance and reduced flash artifact.