• Professional healthcare
  • Products & Services
  • Inspiration
  • Support & Contact
  • Shop
‌
‌
‌
‌
‌
‌
‌
‌
‌
‌
‌
‌
‌
‌
‌
‌
‌
‌
‌
‌
  • Consumer productsConsumer products
    • Home
    • Support
    • Product registration
    • My Philips
  • Healthcare professionalsHealthcare professionals
    • Home
    • Products
    • Services
    • Specialties
    • Solutions
  • Other business solutionsOther business solutions
    • Lighting
    • Automotive
    • Hearing solutions
    • More
    • Display solutions
    • Dictation Solutions
  • About usAbout us
    • Home
    • News
    • Investor Relations
    • Careers
    • More
    • Environmental, Social and Governance
    • Innovation
  • Contact and supportContact and support
    • Customer support
    • Professional healthcare support
    • Company contacts
  • Stay up-to-dateStay up-to-date
  • Select your country / languageGlobal / English
  • Privacy Notice
  • Terms of use
  • Cookie notice
  • Legal compliance
© Koninklijke Philips N.V., 2004 - 2025. All rights reserved.
‌
‌
‌
‌
‌
‌
‌
‌
‌
‌
‌
‌
‌
‌
‌
‌
‌
‌
‌
‌

Ultrasound with LFQ for assessment and monitoring of chronic liver disease

  • By Philips
  • March 17 2025
  • 4 min read

Philips Liver Fat Quantification

Download (PDF | 2.60 MB)

Ultrasound-based liver fat quantification methods have gained attention due to the need for a widely accessible non-invasive imaging biomarker for fatty livers. The Philips Liver Fat Quantification (LFQ) solution allows measurement of liver attenuation and characterization of relative echogenicity. It provides simple, intuitive tools for managing chronic liver disease.

At-a-glance:

  • Principles of ultrasound attenuation estimation
  • Characterization of liver echogenicity using the hepatorenal index tool
  • Scanning and measurement tips for attenuation quantification
EPIQ Shearwave liver scan with female patient and doctor

Avoid imaging artifacts and realize high quality, reproducible measurements of liver attenuation

Fatty liver disease is the most common and earliest stage of chronic liver disease, with a global prevalence of about 25% [2]. This includes simple liver steatosis and more severe forms such as non-alcoholic steatohepatitis (NASH), fibrosis and cirrhosis. Early assessment of fatty liver is crucial for potentially reversing the progression of the disease.

Traditionally, liver biopsies have been used for diagnosing fatty liver disease, but they come with risks and limitations. Magnetic resonance imaging-derived proton density fat fraction (MRI-PDFF) has become a widely adopted noninvasive method for quantifying liver fat. However, the cost and limited access to MRI can be a challenge for many.

A viable imaging alternative

Ultrasound-based liver fat quantification methods have gained increased attention recently due to the need for a widely accessible noninvasive imaging biomarker to address the prevalence of fatty livers [1].

Ultrasound-based liver fat quantification methods have gained increased attention recently due to the need for a widely accessible noninvasive imaging biomarker to address the prevalence of fatty livers.

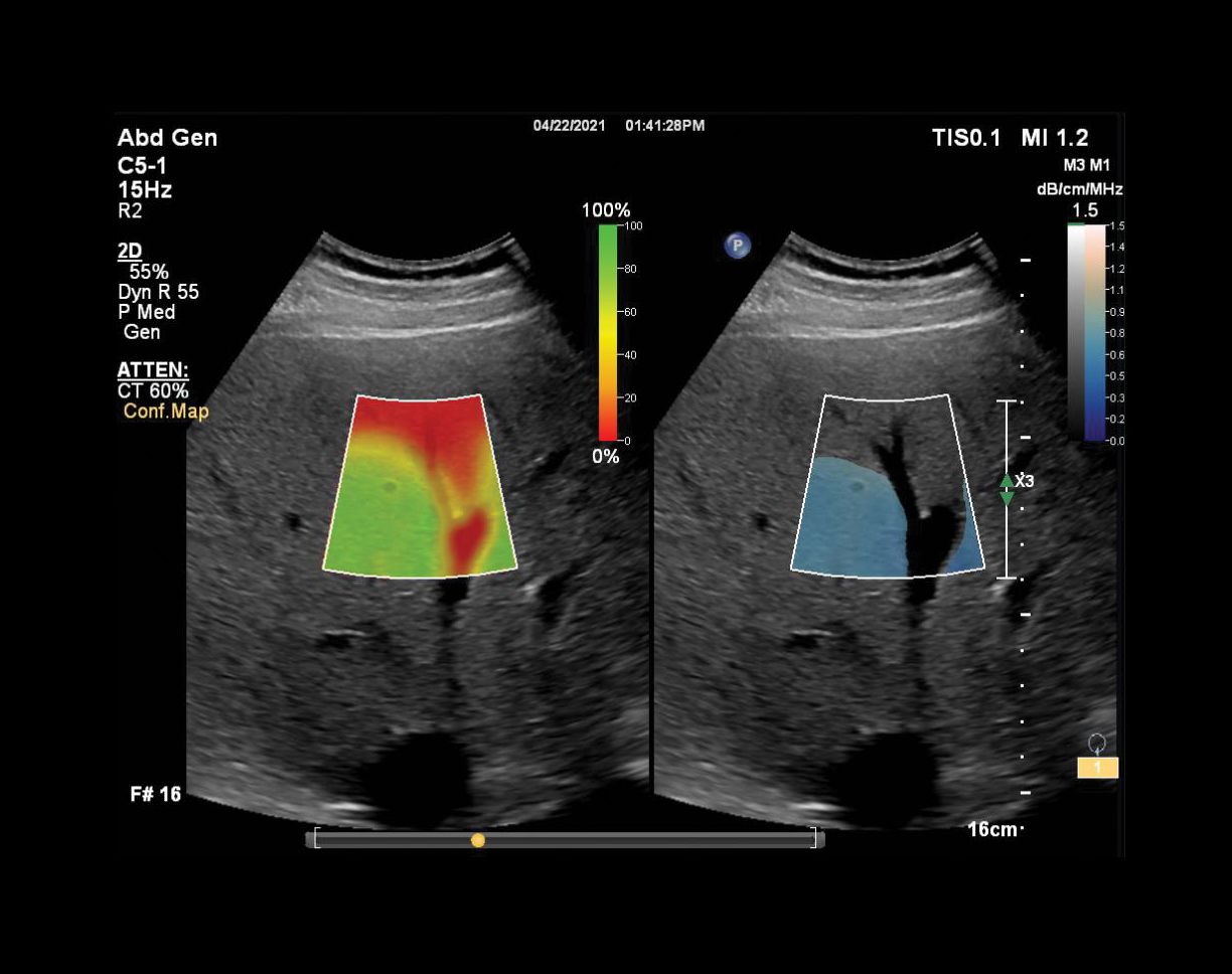
Clinicians have long recognized that the presence of fat in the liver generates a smooth, hyperechogenic appearance in the liver, especially when compared to the echogenicity of the adjacent kidney. Fat also increases the attenuation of the liver, thereby reducing the ultrasound penetration and the visualization of the deeper structures such as the diaphragm. The Philips Liver Fat Quantification (LFQ) solution allows the user to measure the attenuation of the liver using the attenuation quantification tool and characterize the relative echogenicity of the liver using the hepatorenal index (HRI) tool.

Attenuation confidence map

The LFQ solution also includes a hepatorenal index (HRI) tool, which measures the ratio of echo amplitude between the liver and kidney. HRI has been used clinically for fatty liver detection and can be calculated using ultrasound images.

Proven efficacy

The Philips Liver Fat Quantification solution provides simple and intuitive tools for physicians to manage patients with chronic liver disease. It supports the delivery of accurate and reproducible measurements of liver attenuation and characterization of liver echogenicity.

Clinical studies have demonstrated the effectiveness of the LFQ solution in quantifying liver fat and its correlation with MRI-PDFF measurements. LFQ can assist in managing patients with fatty liver disease and potentially reverse the progression of the disease.

Copy this URLto share this story with your professional network
Sign up for news and updates
Lady using a tablet
Footnotes
  1. Ferraioli G, Berzigotti A, Barr RG, et al. Quantification of Liver Fat Content with Ultrasound: A WFUMB Position Paper. Ultrasound Med Biol. 2021;47(10):2803-2820.
  2. Younossi ZM. Non-alcoholic fatty liver disease - A global public health perspective. J Hepatol. 2019;70(3):531-544.
Disclaimer
Results are specific to the institution where they were obtained and may not reflect the results achievable at other institutions. Results in other cases may vary.