Feb 29, 2024 | 4 minute read
Amsterdam, the Netherlands and Vienna, Austria – Royal Philips (NYSE: PHG, AEX: PHIA), a global leader in health technology, today announced the launch of Philips CT 5300 system equipped with advanced AI capabilities designed to be used for diagnosis, interventional procedures and screening. The flexible X-ray CT system increases diagnostic confidence, streamlines workflow efficiency, and maximizes system up-time, helping to improve patient outcomes and department productivity. As healthcare providers strive to deliver high-quality care to patients, at #ECR2024 Philips is partnering with its customers to improve productivity and access to more sustainable healthcare.

CT plays an important role in the diagnosis of cardiac disease. Recent research indicates a “CT first” strategy to triage patients presenting with chest pain with undiagnosed coronary artery disease has been shown to improve patient care by helping them avoid more invasive procedures [1]. However, a lack of availability of high-quality CT systems, or physicians qualified to read cardiac CT exams, often prevents this approach. The Philips CT 5300 system meets advanced diagnostic imaging requirements for cardiac care patient guidelines, as well as for other challenging areas such as trauma care and interventional procedures.
The system also integrates virtual tools for real-time collaboration and clinical/technical support, which can be instrumental in overcoming challenges related to increased patient caseloads, complex cases, staff shortages, and budget constraints. By bringing clinical expertise and functionality previously associated with high-end scanners into a more affordable, versatile system, Philips is committed to making advanced medical technology more accessible to more patients. Emphasizing lifetime value and sustainability, the CT 5300 is designed to lower energy consumption.
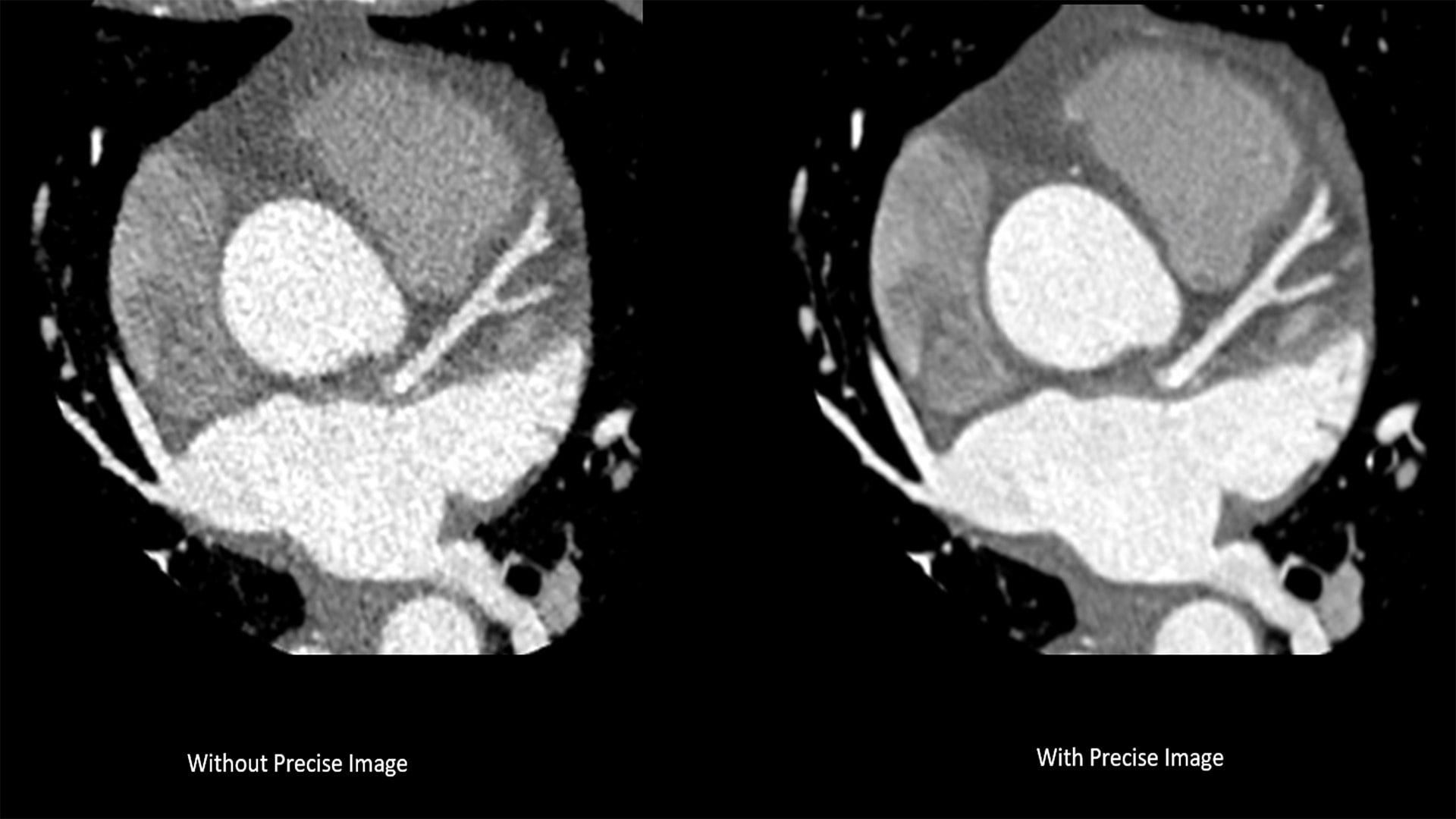
The new CT 5300 system is already installed at several European hospitals and has been well-received. “CT 5300 offers CT imaging from head to toe, combined with high-end functionality such as coronary angiography, delivering an extremely broad spectrum of applications, helping us to better manage increased volumes of patients,” said Dr. Hilmar Kühl, Head of Radiology at St. Bernhard-Hospital Kamp-Lintfort, Germany. “With this latest system from Philips, we see an improvement in image quality with Precise Imaging, and for the first time, we can now visualize cardiac anatomy by using Precise Cardiac nearly artifact-free, which is very valuable to help improve cardiac care for our patients.”
We’ve leveraged AI in virtually every aspect of the CT 5300, freeing both CT technicians and radiologists from tedious, time-consuming tasks so they can spend more time focused on their patients.
“We listened to radiologists about the issues they face every day and what they wanted out of a next-generation CT system. We then combined the latest imaging and AI technologies to meet their needs and created a system that delivers next-level diagnostic confidence, empowers workflows, and ensures lifetime value,” said Frans Venker, Business Leader of CT at Philips. “We’ve leveraged AI in virtually every aspect of the CT 5300, freeing both CT technicians and radiologists from tedious, time-consuming tasks so they can spend more time focused on their patients.”
The new system introduces Nanopanel Precise, the industry’s first detector built from the ground up specifically for AI-based reconstruction. This brand-new detector leverages the full capabilities of Philips Precise Image reconstruction software to deliver high-quality images at much lower radiation dose. At 80% lower dose, Precise Image achieves up to 85% lower noise and 60% better low-contrast detectability than conventional image reconstruction [2]. Combined with Precise Cardiac motion compensation, Precise Image makes the CT 5300 particularly suitable for high-quality, motion-free, cardiac imaging [3] in patients with high heart rates or heart-rate variability.
Where additional expertise or technical support is required during an exam, the new system also features virtual tools like Philips CT Collaboration Live [4] to facilitate remote collaboration, education, and training. More time spent with patients means a better patient experience, while greater productivity and ease of working enhance the operator experience to help mitigate staff shortages and overload.
Sources [1] Markus Scherer, MD, Atrium Health-Sanger Heart and Vascular Institute, Charlotte, NC. The study findings were presented February 1, 2024 at the American College of Cardiology (ACC) Cardiovascular Summit in Washington, DC.
[2] Lower image noise, improved low-contrast detectability, and/or dose reduction were tested using reference body protocols. All metrics were tested on phantoms. Low-contrast detectability tests were performed using 1.0 mm slices, and tested on the MITA CT IQ Phantom (CCT183, The Phantom Laboratory), using an auto tool “CHO” (Channelized Hotelling Observer). Data on file. Philips White Paper ‘Basic IMR testing, considerations and image quality trends’.
https://www.philips.co.uk/c-dam/b2bhc/gb/resource-catalog/landing/brightontender/ct-imr-white-paper-lr.pdf
[3] Precise Image for cardiac scans is 510(k) pending –not available for sale in the USA.
[4] 510(k) pending –not available for sale in the USA. Not available in all geographies.